안녕하세요! 오늘은 우리가 매일 사용하지만 정작 그 속은 잘 알지 못하는 신비로운 기관, 바로 '뇌'에 대한 흥미로운 이야기를 가져왔습니다.
최근 유튜브 채널 '과학을 보다'에서는 뇌과학, 물리학, 천문학 전문가들이 모여 우리의 뇌에 대한 궁금증을 풀어보는 시간을 가졌는데요, 그 중에서도 특히 재미있었던 내용들을 쏙쏙 뽑아 정리해 보았습니다.
꿈속의 꿈, 하늘을 나는 경험: 자각몽의 세계
혹시 꿈을 꾸다가 '아, 이거 꿈이구나!'하고 알아차린 경험, 다들 한 번쯤 있으신가요? 이를 '자각몽'이라고 하죠. 방송에서도 MC와 패널들이 자각몽 경험을 공유하며 이야기를 시작했습니다.
"꿈에서 꿈인 걸 알아차리면 하늘을 날 수도 있고, 뭐든 할 수 있잖아요. 정말 좋은 기억이었어요."
"저는 꿈속에서 꿈을 꾸고 있는 저를 또 꿈꾼 적도 있어요. 꿈속에서 깨어났는데, 그것조차 꿈이었던 거죠. 그게 바로 자각몽이었던 것 같아요."
이처럼 신비로운 꿈의 세계. 이 모든 것을 만들어내는 우리 뇌는 과연 어떤 존재일까요?

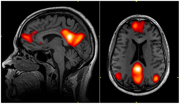
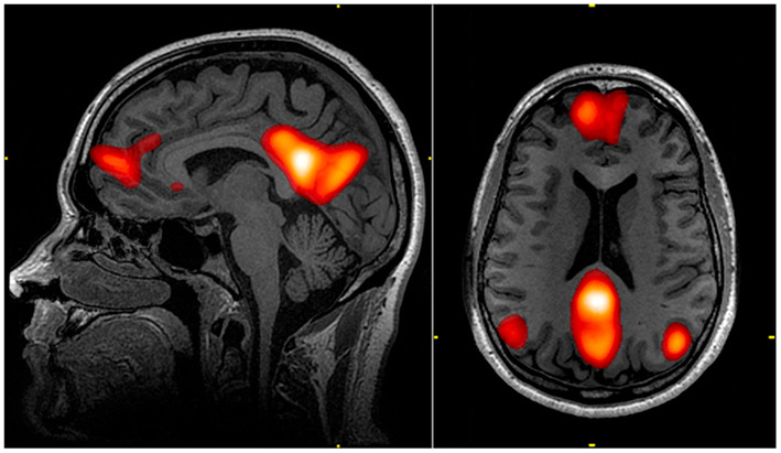
뇌는 24시간 쉬지 않는다? '멍 때리기'의 진실
가끔 아무 생각 없이 '멍'하니 있을 때가 있죠? 이때 우리 뇌는 잠시 쉬고 있는 걸까요? 뇌과학자 우충완 교수에 따르면, 정답은 "아니요"입니다.
"뇌는 단 한 순간도 쉬지 않아요. 우리가 '멍 때린다'고 느끼는 순간조차 뇌는 계속해서 활동하고 있습니다."
놀랍게도 우리가 의식적으로 무언가를 하지 않을 때, 뇌의 특정 영역인 '디폴트 모드 네트워크(Default Mode Network, DMN)'는 오히려 더 활성화된다고 합니다. 이 DMN은 과거의 기억을 정리하고, 미래를 계획하며, 타인의 마음을 헤아리는 등 매우 중요한 역할을 수행합니다.

오히려 열심히 공부한 뒤에 잠시 '멍 때리는' 시간을 갖는 것이 기억을 공고히 하는 데 도움이 될 수 있다는 사실! 이제부터 죄책감 없이 당당하게 멍 때리셔도 되겠습니다. 물론, 먼저 공부를 하고 나서요!
T는 정말 공감 능력이 없을까? (MBTI T와 F의 뇌과학적 차이)
요즘 가장 뜨거운 주제 중 하나인 MBTI! 특히 'T(사고형)'와 'F(감정형)'의 차이는 많은 논쟁을 낳고 있죠. 'T는 공감 능력이 부족하다'는 말이 사실일까요?'
우충완 교수는 공감에는 두 가지 종류가 있다고 설명합니다.
- 감정적 공감: 상대방의 감정을 그대로 느끼는 것 (주로 F 유형)
- 인지적 공감: 상대방의 상황과 감정을 머리로 이해하고 분석하는 것 (T 유형도 충분히 가능)
즉, T 유형은 눈물을 흘리며 함께 슬퍼해주지는 않아도, 상대방이 왜 힘든 상황인지 이성적으로 파악하고 해결책을 제시하는 방식으로 공감할 수 있다는 것입니다.
"진정한 공감이란 단순히 내 편의 감정에 동조하는 것을 넘어, '공감의 반경'을 넓혀 나와 다른 사람들의 생각과 상황까지 이해하려는 노력입니다."

뇌 이식, 현실적으로 가능할까?
그렇다면 SF 영화처럼 뇌를 이식하거나, 뇌의 정보를 데이터처럼 옮기는 것이 가능할까요?
이에 대해 김범준 교수는 흥미로운 관점을 제시했습니다.
"뇌를 이식한다는 건, 사실 뇌가 주체(나)이기 때문에 '몸을 이식하는 것'과 같습니다. 내 뇌가 다른 사람의 몸에 들어가면, 그건 몸이 바뀐 '나'인 거죠."

뇌 전체를 이식하는 것은 수많은 신경을 하나하나 연결해야 하는 문제 때문에 현실적으로 불가능에 가깝습니다. 신경 연결이 너무나 복잡하고, 뇌는 단순히 지식적인 정보뿐만 아니라 우리 몸을 조절하는 모든 환경과 연결되어 있기 때문이죠. 뇌가 살아가는 가장 중요한 환경인 '몸'이 통째로 바뀌는 것은, 마치 지구가 갑자기 화성으로 바뀌는 것과 같은 충격일 겁니다.
오늘의 결론!
오늘 과학자들의 이야기를 통해 우리 뇌가 얼마나 복잡하고 경이로운 기관인지 다시 한번 깨닫게 되었습니다. 잠자는 동안에도, 멍하니 있을 때도 쉬지 않고 우리를 위해 일하는 뇌!
가끔은 달콤한 포도당을 공급해주고, 충분한 수면으로 뇌 속 노폐물을 청소해주는 건 어떨까요? 우리의 뇌는 우리가 생각하는 것보다 훨씬 더 대단한 존재니까요!
여러분이 알고 있는 뇌에 대한 신기한 사실이 있다면 댓글로 공유해주세요!
'유익한정보' 카테고리의 다른 글
| 음식 궁합, 잘못 먹으면 독이 된다? 과학자들이 밝히는 위험한 조합 (1) | 2025.09.06 |
|---|---|
| 똑똑한 과학자들의 흑역사? 우리가 속고 있던 과학 상식들! (0) | 2025.09.06 |
| 😱 핵전쟁에서도 살아남는 바퀴벌레, 진짜 지구의 주인은 따로 있다? (1) | 2025.09.02 |
| 인생샷은 기본! 서울의 가을 정취 만끽 스팟 5 (비용, 꿀팁 총정리) (4) | 2025.08.28 |
| 📚 밀리의 서재 vs 교보 샘 vs 리디: 나에게 딱 맞는 전자책 구독 플랫폼은? (전격 비교 분석) (4) | 2025.08.25 |
댓글